1Department of Pediatric Endocrinology and Diabetes, Medical University of Silesia, Katowice, Poland, 2Department of Pediatric Neurology, Medical University of Silesia, Katowice, Poland
Moyamoya disease is a rare cerebrovascular disorder which, according to a few literature reports, can coexist with hypothalamic-pituitary dysfunction. We report a 16 year-old boy referred to our Department because of short stature and headaches. He additionally, at admission, presented discrete facial dysmorphy, bruxism, luxation of temporomandibular joint and cryptorchidism. The height was 146 cm (-4.3 SDS); the sexual development was P2G2A1 and the bone age 11.5 years. The intellectual development was normal. No focal neurological deficits were observed. Based on baseline and stimulated hormonal values, isolated growth hormone deficiency was diagnosed. Malformation of the cerebral vessel was suspected on magnetic resonance imaging and upon angiocomputed tomography and panangiography, a picture suggesting moyamoya disease was obtained. Growth hormone has been administered with daily injections at the dose of 0.025 mg/kg/24h, and the first year height velocity was 12 cm/yr. No adverse events resulting from the treatment have been noted so far. This case indicates that GH deficiency may be associated with moyamoya disease, possibly resulting from chronic cerebrovascular insufficiency.
Growth hormone deficiency, Moyamoya disease
INTRODUCTION
Moyamoya disease is a rare progressive cerebrovascular disorder in which stenosis and occlusion of the carotid arteries result in a collateral network of blood vessels at the base of the brain, with an angiographic image of "puff of smoke"1. The Japanese Takeuchi and Shimuzu first described this disorder in 19571. The etiology of the disease is unknown. It is characterized by fibrocellular thickening and an increase in smooth muscle cells of the vessels2. Moyamoya syndrome with angiographic findings similar to those observed in moyamoya disease occurs as part of other clinical entities like trisomy 21, von Recklinghausen disease, or as a result of cranial irradiation, head trauma and autoimmune processes2. The symptoms are related to transient ischemic episodes, leading to focal signs, seizures and progressive cognitive deficit3. There are rare reports of endocrinopathy coexisting with moyamoya disease4-7. We present a patient with isolated growth hormone deficiency (GH) in association with cerebrovascular lesions suggestive of moyamoya disease.
CASE REPORT
A Caucasian male was born at 38 weeks of gestation after a caesarean section, with birth weight 4000 g and birth length 57 cm, with no perinatal problems. His linear growth velocity started to decline at the age of 12 years. At the age of 14 years he started to have stabbing headaches, mainly in the left parietotemporal region, which were accompanied by nausea and hypersensitivity to light and sounds. Retractile testes had also been diagnosed since early childhood. On admittance to our Department, at the age of 154/12 years, the boy's height was 146 cm (-4.3 SDS), puberty P2G2A1 according to Tanner staging, and the testes were palpable in the inguinal canal. The deviation from mid-parental height was _3.3 SDS, and height velocity prior to admittance was estimated to be 2.8 cm/year. Other signs on physical examination were discrete facial dysmorphy, bruxism and luxation of the temporomandibular joint. An endocrine evaluation was carried out. The results of basal and stimulated hormonal assays showed low growth hormone concentrations (max 2.6 µg/L), without other pituitary hormone insufficiencies (Table 1 ). The bone age using the Greulich and Pyle standards was 116/12. In the magnetic resonance imaging (MRI) of the hypothalamic and pituitary region, a normal pituitary gland was visualised. However, in the left hemisphere there was fascicular intensification, suggesting vascular malformation. Bilateral complex flow disturbances were noted in ultrasound Doppler of the carotid arteries. These findings prompted imaging by angiocomputed tomography, which is presented in Figure 1. The decisive investigation was panangiography, in which the most abnormal vascular lesions were localised in the left hemisphere. The left internal carotid artery was narrowed with no visible C1 segment. The segment M1 of the middle cerebral artery as well as anterior cerebral arteries were absent. Collateral circulation through meningeal branches of the external carotid artery and branches of the posterior cerebral artery was visualised. This angiographic image suggested moyamoya disease.

Figure 1. Growth curve of the patient. BA; bone age, Hfather ; height of the father, Hmother; height of the mother.
Laryngologic, orthodontic and ophthalmologic consultations were requested and disclosed only luxation of the left temporomandibular joint. Appropriate orthodontic and behavioural treatment were initiated. Psychological examination revealed normal average mentality (intelligence quotient IQ= 93 according to Wechsler) and depression.
Orchidopexy was carried out because of no satisfactory therapeutic effect of human chorionic gonadotropin (Biogonadyl, Biomed-Lublin). Substitution therapy with recombinant human growth hormone was initiated at the dose 0.025 mg/kg/24h (Genotropine, Pharmacia). Significant improvement in height velocity was achieved (12 cm during the first year). Height velocity SD score changed from -3.4 SD prior to rGH initiation to +2.8 SD during GH therapy.

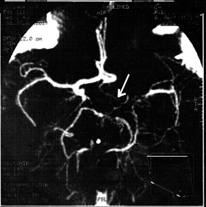
Figure 2. Angio-computed tomography. An arrow indicates the area of interest with the invisible left carotid artery, a fragment M1 of the left middle cerebral artery, segment A2 of anterior arteries diverging from A1 segment of the right anterior artery. Collateral vessels between middle and anterior arteries on the left side.
At present the boy complains of recurrent fatigability, sleepiness and intense yawning. However, on physical examination no new abnormalities were found and no focal neurological signs were detected. The sexual development was Tanner stage IV and the BA 15 years. Psychological evaluation showed improvement. Currently the patient is being followed up in endocrinologic and neurological out-patient clinics.
All auxological measurements refer to Polish growth charts (Figure 1)8.
DISCUSSION
Moyamoya disease manifests itself with complex neurological symptoms resulting from transient ischemic attacks2. The diagnosis of this disease in our short-statured patient was surprising, considering the fact that so far only a few cases of coexistence of endocrinopathy and moyamoya disease have been reported4-7. Mootha et al described two children with GH deficiency, in whom neurological symptoms predominated4. Upon admission, migraine headaches were the only symptoms that could suggest neurological disorder in our patient. Initially, however, they were connected with dysfunction of the temporomandibular joint. The poor results of orthodontic treatment as well as the symptoms of fatigability and yawning led us to associate these signs with possible periodic mild ischemia of the brain. Focal signs with visual and sensory disturbances have been described as migraine in the course of moyamoya disease9. However, in our patient we cannot rule out a complex character of headaches, since dysfunction of facial joints may aggravate them. So far our patient's IQ has been within the normal range without a tendency to decrease. This fact seems to be crucial since mental deterioration is considered to be an indicator of progression of the disease and a possible indication for surgical intervention10.
In our patient no typical etiologic markers of moyamoya syndrome were found; however, there was a characteristic radiological image strongly indicating moyamoya disease. The pituitary structure and size were normal on MRI. Nevertheless, vascular abnormalities of the area and its blood supply by collaterals are possibly related to the pituitary insufficiency. Shulman and Martinez described congenital hypopituitarism, severe anterior pituitary hypoplasia and ectopic posterior pituitary associated with absence of the left internal carotid artery7. Analysis of the patient's height velocity leads to the suspicion that hypothalamic-pituitary dysfunction had been developing gradually, since the growth delay did not appear before the age of 12 years. Other authors have described initiation of growth arrest at an earlier age4,5.
On the basis of the case presented, we suggest that pituitary dysfunction may appear as a consequence of vascular disturbances in the brain. Progression of the disease may lead to development of multiple pituitary hormone insufficiency and this fact necessitates close follow-up of such patients.
REFERENCES
1. Kudo T, 1968 Spontaneous occlusion of the circle of Willis: a disease apparently confined to Japanese. Neurology 18: 485-496.
2. Fukui M, 1997 Current state study on Moyamoya disease in Japan. Surg Neurol 47: 138-143.
3. Nishimoto A, Suzuki K, Homma A, Murota T, 1984 Moyamoya disease in children. Child Nerv Syst 9: 189.
4. Mootha SL, Riley W, Brosnan P, 1999 Hypothalamic-pituitary dysfunction associated with Moyamoya disease in children. J Pediatr Endocrinol Metab 12: 449-453.
5. MacKenzie CA, Milner RDG, Bergvall U, Powell T, 1989 Growth failure secondary to Moyamoya syndrome. Arch Dis Child 75: 74-75.
6. Kazumata K, Kuroda S, Houkin K, et al, 1996 Moyamoya disease with precocious puberty and pustular psoriasis. Child Nerv Syst 12: 339-342.
7. Shulman DL, Martinez CR, 1996 Association of ectopic posterior pituitary and anterior pituitary hypoplasia with absence of the left internal carotid. J Pediatr Endocrinol Metab 9: 539-542.
8. Palczewska I, Niedzwiecka Z, 2001 Somatic development indices in children and youth of Warsaw. Develop Period Med 2: Suppl 1: 55.
9. Eggers C, 1977 Acute hemisyndrome in childhood. Fortschr Neurol Psychiatr Grenzgeb 45: 168-186.
10. Matsushima Y, Aoyagi M, Niimi Y, Masaoka H, Ohno K, 1990 Symptoms and their pattern of progression in childhood moyamoya disease. Brain Dev 12: 784-789.
Address correspondence and requests for reprints to:
Maria Kalina, Department of Pediatric Endocrinology and Diabetes,
Medical University of Silesia, Ul. Medykow 16,
40-752 Katowice, Poland, Tel: +48 32 2071654,
Fax: +48 32 2071653, e-mail: majak_2001@yahoo.com
Received 11-03-04, Revised 20-05-04, Accepted 20-06-04